Gynecological
Author
Shelia Segura, MD
Summary of clinical history
46-year-old G2P1 female presents with a pelvic mass and an elevated CA-125 level of 142.3 U/mL. Cross-sectional imaging with CT of the abdomen and pelvis reveals a large cystic mass measuring up to 19.5 cm located in the lower abdomen and pelvis. The mass demonstrates multiple thin septations and areas of soft tissue density, particularly in the left lateral and inferior portions. These radiologic features raise concern for a primary ovarian neoplasm. Additionally, mild to moderate ascites is noted, further supporting the suspicion of a malignant process.
Gross findings
The specimen labeled as left fallopian tube and ovary consists of a 19.0 × 15.0 × 8.0 cm ovarian mass. No fallopian tube is grossly identified. The external surface of the mass is purple-pink, wrinkled, nodular, and focally disrupted, with areas of focal adhesions. On sectioning, the mass appears tan and heterogeneous, demonstrating both cystic and solid components. The cystic areas contain hemorrhagic, watery fluid, while the solid portions are tan to red, focally hemorrhagic, and markedly heterogeneous. Approximately 50% of the solid component shows necrosis and hemorrhage. No normal ovarian stroma is identified.
Microscopic findings
Histologic examination of the ovarian mass reveals an adenocarcinoma characterized by a biphasic architecture, consisting of both glandular and corded/hyalinized components. These two morphologic patterns merge seamlessly and share similar cytologic features. Notably, there is squamous and spindle cell differentiation throughout the tumor.
Incidentally, a separate endometrial carcinoma is identified. This lesion is a well-differentiated tumor with squamous morules, confined to the endometrial cavity, with no evidence of myometrial invasion or lymphovascular space invasion (LVSI). The tumor extends into the lower uterine segment and focally involves the cervical mucosa.
Click any image for larger version
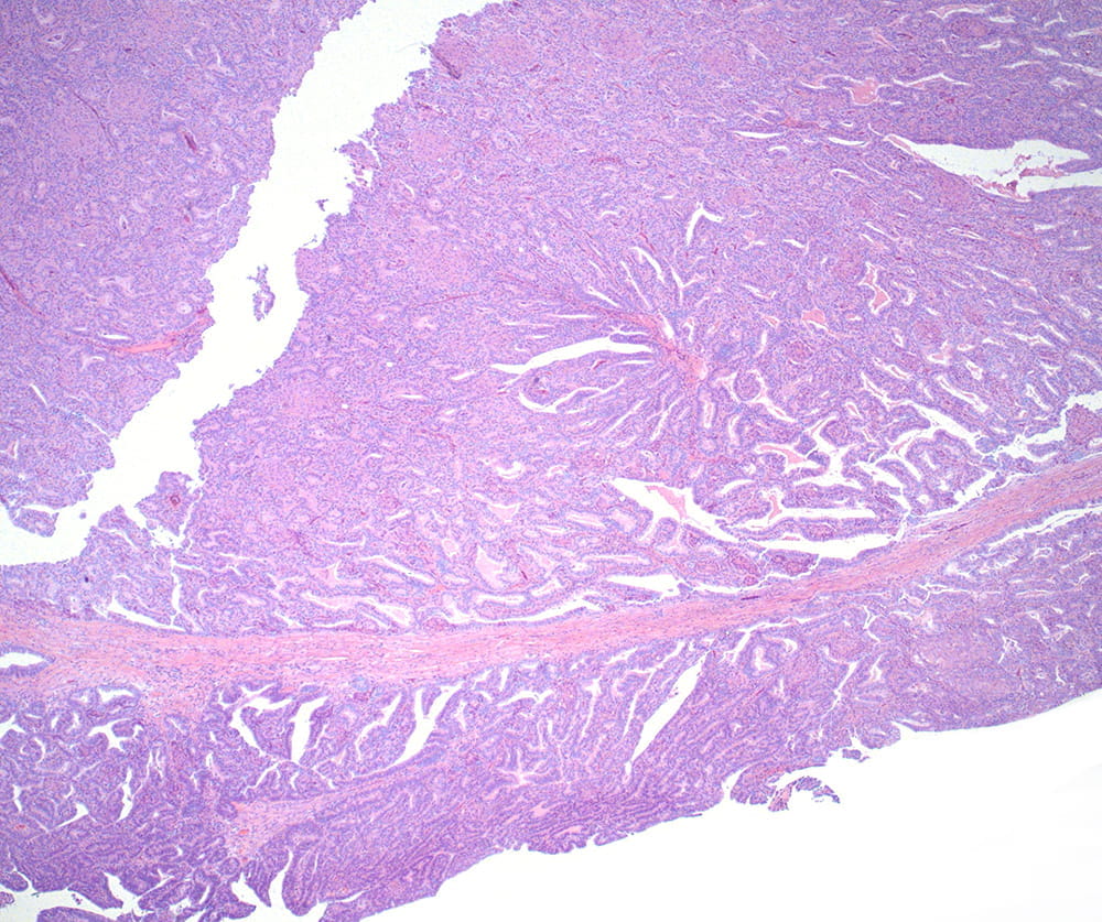
Figure 1: H&E, 4x- Ovarian carcinoma with glandular growth.
Figure 2: H&E, 20x- Ovarian carcinoma with glandular growth and squamoid differentiation.
Figure 3: H&E, 10x- Ovarian carcinoma with spindle cells and a hyalinized stroma.
Figure 4: H&E, 40 x- Single neoplastic cells infiltrating a dense hyaline matrix with a corded and vague trabecular patterns.
Figure 5: IHC, 40x- Immunohistochemical stains for beta-catenin shows aberrant nuclear and cytoplasmic staining pattern in the ovarian tumor.
Figure 6: H&E, 4x- Endometrial carcinoma without myometrial invasion.
Figure 7: H&E, 40x- Endometrial carcinoma with squamoid differentiation.
Immunohistochemical findings
Immunohistochemical analysis of the ovarian tumor reveals that the epithelial component is positive for CK7 and EMA, supporting its epithelial origin. The tumor is negative for WT-1, which helps distinguish it from serous carcinoma. CD10 is negative. Beta-catenin demonstrates an aberrant staining pattern with both nuclear and cytoplasmic localization, suggesting dysregulation of the Wnt signaling pathway. DNA mismatch repair proteins MLH1, PMS2, MSH2, and MSH6 are retained, indicating microsatellite stability. P53 exhibits a wild-type staining pattern, consistent with a non-mutant phenotype. Notably, beta-catenin shows the same aberrant nuclear and cytoplasmic staining pattern in the endometrial carcinoma, which also retains expression of all mismatch repair proteins and displays a wild-type P53 pattern.




