Skip to main content

Intravital Multiphoton Microscopy

Examples of intravital multiphoton microscopy conducted at the Indiana Center for Biological Microscopy.

Jump to: Kidney | Liver | Pancreas | Bone Marrow | Miscellaneous

Kidney

Video

Multiphoton microscopy of a fluorescent probe of functional mitochondria in the kidney of a living mouse​

Michelle Martinez and Ken Dunn​

Video

Multiphoton microscopy of macrophage dynamics in the kidney of a living mouse​

Takashi Hato and Pierre Dagher​

PMID: 25398784​

Video

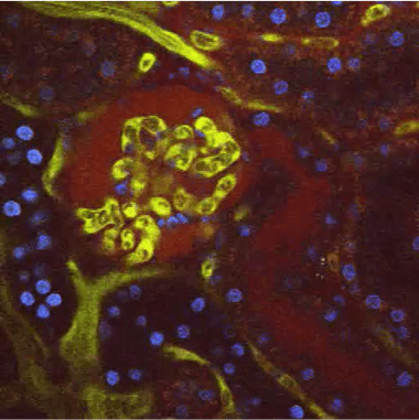
Multiphoton microscopy of glomerular filtration in the kidney of a living rat ​

Ruben Sandoval and Bruce Molitoris​

PMID: 15883167​

Video

Multiphoton microscopy of solute concentration in the liver of a living rat​

Ruben Sandoval and Bruce Molitoris​

PMID: 15883167​

Video

Multiphoton microscopy of the kidney of a living mouse through an imaging window​

Michelle Martinez and Ken Dunn​

Video

Multiphoton microscopy of glomerular filtration and proximal tubule uptake of siRNA in the kidney of a living rat​

Ruben Sandoval and Bruce Molitoris. ​

PMID: 19470675​

Liver

Video

Multiphoton microscopy of migration of myeloid cells in the liver a living mouse treated with lipopolysaccharide​

Cliff Babbey and Marwan Ghabril​

Video

Multiphoton microscopy of a fluorescent probe of functional mitochondria in the liver of a living mouse

Michelle Martinez and Ken Dunn

Multiphoton microscopy of the effect of AMG009 on bile acid transport in the liver of a living mouse​

Jennifer Ryan and Ken Dunn​

PMID: 29467212​

Multiphoton microscopy of PKA responses (AKAR4.1) in hepatocytes of a mouse treated with glucagon​

Wen Tao, Richard Day and Ken Dunn​

PMID: 26333599​

Pancreas

Video

3D multiphoton microscopy volume of an islet in the pancreas of a living mouse ​

Matthew Arvin and Amelia Linnemann​

Video

3D multiphoton microscopy of pancreatic islet transplanted into the kidney in a living mouse​

George Rhodes and Natalie Stull​

Video

Multiphoton microscopy of calcium transients (GCaMP6s) in beta cells of the mouse pancreas​

Chris Reissaus and Amelia Linnemann​

Video

3D multiphoton microscopy of a ROS biosensor expressed in human beta cells transplanted into the kidney in a living mouse ​

Matthew Arvin, Kara Orr and Amelia Linnemann​

Bone Marrow

Video

3D volume collected by multiphoton microscopy from the calvarium of a living mouse a​

Malgorzata Kamocka, Amy Zollman and Nadia Carlesso. PMID: 28362378​

Video

Multiphoton microscopy of blood flow in the calvarium of a living mouse​

Cliff Babbey and Ken Dunn​

Video

3D multiphoton microscopy from the calvarium of a living mouse​

Malgorzata Kamocka, Amy Zollman and Nadia Carlesso​

Video

Imaris volume rendering of a multiphoton microscopy volume of the calvarium of a living mouse

Malgorzata Kamocka, Amy Zollman and Nadia Carlesso

PMID: 28362378

Miscellaneous

Video

Multiphoton microscopy of thrombus formation in a living rat ​

Malgorzata Kamocka and Eliot Rosen. PMID: 20210466​

Video

Multiphoton microscopy of a fluorescent probe of functional mitochondria in sweat glands of living human skin​

Mary Beth Brown and Seth Winfree​

Video

IMART motion compensation applied to a time series of multiphoton microscopy images of the lung of a living mouse​

Robert Presson, Mary Beth Brown and Irina Petrache​

PMID: 21703395​